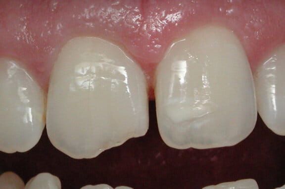
Bonding is a common cosmetic procedure due to its relatively low cost and ease of application. It is often used to reshape or change the color of a tooth and fill in slight spaces between teeth. The composite material used in bonding can be shaped and polished to match all surrounding teeth.


Bonding is among the easiest and least expensive of cosmetic dental procedures. The composite resin used in bonding can be shaped and polished to match the surrounding teeth. Most often, bonding is used for cosmetic purposes to improve the appearance of a discolored or chipped tooth. It also can be used to close spaces between teeth, to make teeth look longer or to change the shape or color of teeth. Sometimes, bonding is used as a cosmetic alternative to amalgam fillings or to protect a portion of the tooth's root that has been exposed when gums recede.
Dental bonding requires the least amount of a tooth's enamel to be removed, thus minimizing discomfort and keeping as much of your tooth's structural integrity as possible.
In most cases, anesthesia is not required for bonding treatment.
Although extremely affordable, there are a few note-worthy disadvantages to dental bonding. Dental bonding is quite hard but does wear down over time and the procedure will typically need to be redone. How long dental bonding actually lasts depends on the bonding thickness and your oral habits such as tooth grinding, biting your nails, chewing hard foods, etc. Another minor disadvantage to dental bonding is that it can be stained with tea, coffee, cigarette smoke, etc., just like your normal teeth. Porcelain veneers and porcelain crowns are a much better and permanent solution to treating many of the same problems that can be treated with dental bonding.
We recommend coming in for a consultation first to see if dental bonding is adequate for your specific situation. To get started and to see if dental bonding is right for you, it's as easy as calling our office at 909-622-6633 or request an appointment through our website.
Very little preparation is necessary for dental bonding and anesthesia is generally not required beforehand. We will use a shade guide to select a composite resin color that most closely matches the color of your existing teeth.
The surface of your tooth will be etched and a special cleaning/conditioning solution will be applied to allow the bonding resin to adhere to your tooth.
Next, we will apply the bonding resin which is putty-like in consistency and can be molded into the desired shape necessary for your specific situation. Once the resin has been properly placed, molded and smoothed, we will use a special ultraviolet light that quickly hardens the resin.
After the resin has hardened completely, we will be able to fine-tune the shape of the resin as well as polish the material until it matches the sheen and overall texture of your natural teeth.
The entire process may take between 30 minutes to an hour to complete depending on your application requirements and how severe the initial issue was.
Dr. Soboh, Dr. Liswi, and Dr. Tedini would love to meet you and your family and provide you with the dental care you deserve!